 |
Featured Cases |
 |
Periodontal Surgery - Free Gingival Graft
 |
 |
 |
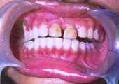
| Pre-operative |
Free Gingival Autograft Sutured |
Post-operative |
Periodontal Surgery - Lateral Sliding Flap
 |
 |
 |
| Pre-operative |
Post-operative |
|
Cosmetic Treatment
 |
 |
 |
| Pre-operative |
Tooth Prepation Done |
Crowns Fixed |
|